Қонаев тұрғыны алманың кесірінен ажал құша жаздады

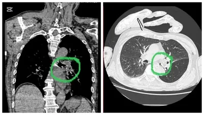
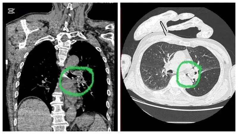
Қонаев тұрғыны алманың кесірінен ажал құша жаздады, сурет - Zakon.kz жаңалық 25.08.2025 17:43 Сурет: Алматы көпсалалы клиникалық ауруханасы
Дәрігерлер Қонаев қаласының 67 жастағы тұрғынының кеңірдегінен алма кесегін алып шықты. Ер адам осы кесекке тұншығып қала жаздаған, деп хабаралайды Zakon.kz.

Алматы көпсалалы клиникалық ауруханасының мәліметінше, олардың эндоскопист дәрігері Данияр Алмағамбетов санитарлық авиация арқылы Қонаевтағы орталық аудандық ауруханаға шұғыл көмек көрсету үшін ұшып барған.

"Науқастың сол жақ негізгі кеңірдегінен көлемі 2х1,5 см алма кесегі табылды, ол тыныс жолын толықтай жауып тастаған. Жағдайды күрделендірген қосымша дерттері де болды: 1995 жылы өткен ми қан айналымының жіті бұзылуының салдары, дизартрия, сол жақ гемипарез, сондай-ақ III дәрежелі артериялық гипертензия", - деп хабарлады Алматы көпсалалы клиникалық ауруханасы.

Ота бөлмесінде маман интубациялық наркозбен видеобронхоскоп аппараты арқылы бөгде затты алып тастады.

"Мұндай жағдайлар шұғыл араласуды және жоғары біліктілікті қажет етеді. Санитарлық авиация жүйесінің үйлесімді жұмысы мен дәрігерлердің тәжірибесі ең қиын сәттердің өзінде науқастарға дер кезінде көмек көрсетуге мүмкіндік береді", - деді Данияр Алмағамбетов.

Дәрігердің дер кезінде әрі кәсіби әрекетінің арқасында науқастың тыныс жолы толықтай қалпына келтіріліп, ауыр асқынулар мен өміріне қауіп төндіретін жағдайдың алдын алды.

Мақаламен бөлісу
Мақаламен бөлісу:
Жаңалықтан zakon.kz сайтында хабардар болыңыз:
Если вы видите данное сообщение, значит возникли проблемы с работой системы комментариев. Возможно у вас отключен JavaScript
Беттегі қате туралы хабарлаңыз
Мәтіндегі қате: